Maxxhair công thức mới: Bổ sung Polyaktiv giúp tóc mọc nhanh hơn gấp 3 lần
Nhân dịp 10 năm có mặt trên thị trường, viên uống mọc tóc Maxxhair công bố phiên bản mới “đã tốt nay còn tốt gấp ba” khi bổ sung thảo dược mọc tóc đến từ Nhật Bản có tên gọi Polyaktiv.
Phiên bản Maxxhair mới có gì khác biệt?
Trong phiên bản mới này, Maxxhair được bổ sung thêm tinh chất POLYAKTIV từ mầm gạo Nhật Bản và các thảo dược giúp tóc mọc chắc khỏe hơn.

Thành phần của viên uống Maxxhair
Vì sao Maxxhair mới tốt hơn gấp 3 lần?
Với việc bổ sung ba thành phần mới: Polyaktiv; Bột Nấm tai mèo, Cao dâu tằm. Maxxhair đạt hiệu quả tốt gấp 3 lần về Giảm số lượng tóc rụng, thời gian tóc mọc nhanh hơn và tóc mọc lên đen chắc khỏe hơn.
Hiệu quả này đã được nghiên cứu và chứng minh tiền lâm sàng và lâm sàng bởi Đại học Y Hà Nội. Đồng thời các nhà khoa học Nhật Bản thuộc tập đoàn Ozyra Fat & Chemical cũng đã công nhận tác dụng của Maxxhair mới theo các nghiên cứu sau:
Nghiên cứu bởi Đại học Y Hà Nội
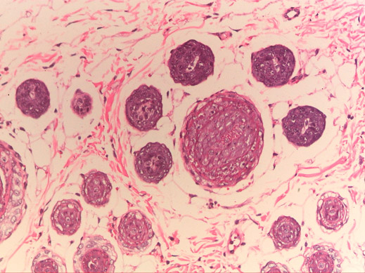
Với liều lượng viên uống Maxxhair mới được điều chỉnh thích hợp, tác dụng cho thấy sự tái tạo các nang rõ rệt sau ngày thứ 19 và 26 ngày. Từ đó giúp sợi tóc mọc lên nhanh chắc khỏe hơn. Nghiên cứu được thực hiện bởi Chuyên gia Phạm Thị Vân Anh thực hiện tại Đại học Y Hà Nội vào tháng 01 năm 2020.

Hình ảnh cho thấy sự tái tạo các nang
Nghiên cứu lâm sàng của tập đoàn Ozyra tại Nhật Bản
Theo nghiên cứu lâm sàng, thành phần mới của Maxxhair là Polyaktiv có tác dụng tăng tới 60% tốc độ phát triển của nang tóc. Và đặc biệt, Polyaktiv được nghiên cứu có tác dụng tương đương với thuốc điều trị rụng tóc Minoxidil. Một loại thuốc tân dược thường được kê cho bệnh nhận rụng tóc hói đầu.

Nghiên cứu lâm sàng về “Tác dụng của Polyaktiv đối với tóc” được thực hiện bởi Tập đoàn Ozyra Oil & Fat Chemical vào tháng 5 năm 2019
Đây quả là tin vui cho những ai đang mắc chứng bệnh rụng tóc hói đầu. Nếu ngại dùng thuốc điều trị có nhiều tác dụng phụ thì có thể tìm tới viên uống mọc tóc từ thảo dược có chứa thành phần Polyaktiv này.

Chuyên gia Phạm Hoàng Khâm chia sẻ về tác dụng của thành phần Polyaktiv của viên uống Maxxhair trong chương trình Mỗi ngày một niềm vui trên VTV3
=> Để tìm Mua Maxxhair tại Nhà thuốc gần bạn nhất, vui lòng BẤM TẠI ĐÂY
=>> Hoặc Đặt mua giao hàng tận nhà bấm TẠI ĐÂY
Ai đã sử dụng Maxxhair?

Bà Nguyễn Thị Khuyên – Hà Nội rất vui sướng vì mái tóc đẹp gần như thời con gái, ai gặp cũng đều bà trẻ khỏe ra vì nhìn thấy tóc là đã biết rồi! Nhìn tóc như này mọi người lại trêu không nghĩ bà đã 70 tuổi vì tóc bà đẹp quá! Cũng thấy vui lắm nhờ Maxxhair cả!

Khách hàng trung thành của Maxxhair từ năm 48 tuổi, 10 năm qua anh Nguyễn Công Danh – TPHCM đã giới thiệu cho rất nhiều người sử dụng sản phẩm. Vì anh thấu hiểu nỗi tự ti của người bị ít tóc. Vốn dĩ là một MC anh Danh rất quan trọng chuyện tóc tai. Tóc rụng nhiều quá phải đội tóc giả nhưng dẫn cũng không được tự tin. Anh Danh cảm ơn Maxxhair rất nhiều đã giúp anh có lại mái tóc ngày xưa của mình. Ảnh trước và sau khi anh dùng sản phẩm!

Khi nhắc đến Maxxhair, cô Đỗ Thị Liên – Ninh Bình rất ưng ý với cả hai công dụng là: giúp tóc cũ khỏe, ngăn chặn rụng tóc và kích thích tóc mới mọc nhanh. Cô tin rằng, nếu kiên trì sử dụng Maxxhair như cô chắc chắn sẽ không ai phải buồn phiền vì rụng tóc hói đầu nữa.

Để khẳng định chất lượng sản phẩm, Maxxhair triển khai chương trình CAM KẾT HOÀN LẠI 100% TIỀN nếu quý khách dùng liên tục 3 tháng mà không thấy tóc mọc lại. Đăng ký tham gia vui lòng gọi hotline miễn cước 18001564
=> Để tìm Mua Maxxhair tại Nhà thuốc gần bạn nhất, vui lòng BẤM TẠI ĐÂY
=>> Hoặc Đặt mua giao hàng tận nhà bấm TẠI ĐÂY
Các thông tin trên website Maxxhair.net chỉ dành cho mục đích tham khảo, tra cứu, khuyến nghị Quý khách hàng không tự ý áp dụng. Maxxhair.net không chịu trách nhiệm về những trường hợp tự ý áp dụng mà không có chỉ định của bác sĩ.
Bài viêt liên quan
- Tóc Mọc Phủ Kín đỉnh đầu - Từ nay hết lo bị hói
- Tóc rụng nhiều, thưa mỏng kèm chân tóc trắng thì là bệnh gì? Giải pháp nào để kích thích tóc mọc nhanh, chắc khoẻ
- MUA 1 TẶNG 1: Mua 1 Dầu gội phủ bạc Maxxhair tặng ngay 1 lọ Multi Vitamin C
- Giá bán một hộp Maxxhair New là bao nhiêu? Mua chính hãng ở đâu gần nhất?
- Sinh nhật Thái Minh: Mua Maxxhair cơ hội trúng vàng 9999 cùng hàng ngàn phần Quà hấp dẫn chỉ có trong tháng 10 này!